Découverte des métiers de l'imagerie
Services de Microscopies

CICS / CLIC
Recherche

Pour vous inscrire à une visite, vous pouvez vous connecter ou créer un compte type "Acteur·trice de l'orientation"

Connexion

Date de la visite

mercredi 19/03/2025 | 09h00-12h00

Date limite d'inscription

mercredi 05/03/2025 à 18h00

Adresse

Faculté de Médecine - 28 place Henri Dunant
63000 Clermont-Ferrand

Visite accessible PMR

Oui

Consignes vestimentaires

  • Pas de tenue particulière

Rappel

Visite réservée aux enseignants et autres cadres de l’éducation nationale sans leurs élèves.

Résumé de l'activité

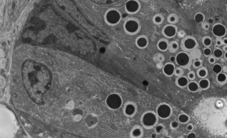
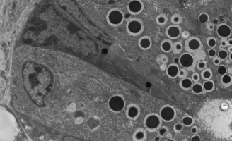
A l'UCA, le Centre Imagerie Cellulaire Santé (CICS) et le Clermont Imagerie Confocal (CLIC) sont des services de Microscopies complémentaires ouverts aux organismes de recherche publics et aux industriels. Le microscope n'est plus un instrument accessoire qu'on dispose à la demande sur un bout de paillasse ! C'est une technologie à part entière avec des métiers dédiés dans l'acquisition d'images mais aussi dans leurs analyses.
Les compétences pour ces métiers se retrouvent dans de multiples domaines de recherche (SVT, Sciences fondamentales) mais aussi dans les mondes médical et industriel où la part de l'informatique (IA) évolue sans cesse.

Description de la visite

- Accueil des participants
- Présentation des participants et de leurs attentes
- Présentation des métiers de l'imagerie avec un focus sur la Microscopie et l'Analyse d'images
- Visites de deux services de microscopie à fluorescence (CLIC) et microscopie électronique (CICS)
- Temps d'échanges

Informations sur le site

Localisés à la Faculté de Médecine de Clermont Ferrand, ces deux centres de Microscopies proposent depuis 20 ans des prestations à la communauté scientifique et plus largement aux entreprises régionales. L'expertise des personnels dédiés permet un accompagnement à la carte de projets pluridisciplinaires.

Programme de la visite

Durée: 3h00

  • Présentation de l'entreprise
  • Visite des installations
    • Laboratoire
    • R&D
    • Installation technique
  • Pause café/échanges
  • Intervention de salariés
  • Echanges sur les besoins en recrutement et formation
  • Atelier découverte d'une technique
    Démonstration d'ultramicrotomie - Observations aux microscopes et acquisition & analyses d'images
Chargement ne cours...
Loading…
Loading the web debug toolbar…
Attempt #